Invisalign

Merapikan gigi dengan aligner transparan yang nyaman, estetik, dan dapat dilepas.

Invisalign adalah aligner transparan yang dapat dilepas-pasang saat makan, minum, atau olahraga. Cocok untuk pasien yang ingin merapikan gigi tanpa tampilan logam pada senyum.

Lihat Layanan Lain

Harga

Mulai dari Rp 40JT

Promo

Gratis konsultasi awal untuk evaluasi kelayakan perawatan Invisalign.

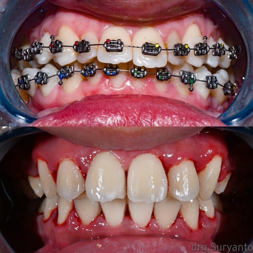
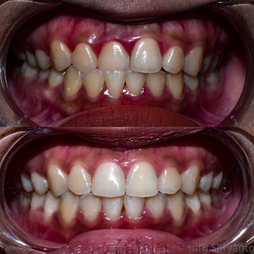
Katalog Hasil Tindakan

Foto katalog untuk membantu pasien menilai kualitas kerja dan hasil estetik.

Bioesthetic Dental

Kenapa Memilih Kami

  • Dikerjakan oleh dokter yang memiliki sertifikat Invisalign.
  • Material smartTrack yang nyaman dan presisi untuk pergerakan gigi bertahap.
  • Estimasi durasi perawatan sekitar 6-18 bulan sesuai kondisi dan disiplin pemakaian.

Bioesthetic Dental

Siap Konsultasi?

Klik WhatsApp lalu isi nama dan rentang usia. Tim kami akan menyiapkan rekomendasi awal sesuai kebutuhan Anda.

Pertanyaan Umum

Berapa lama waktu pemasangan behel?

Tergantung kasus, pada umumnya sekitar 1,5 sampai 2 tahun.

Apakah pemasangan behel sakit?

Saat pemasangan umumnya tidak sakit. Rasa tidak nyaman biasanya muncul 3-5 hari pasca pemasangan namun masih dapat ditoleransi.

Bolehkah pasang behel hanya 1 rahang?

Tidak direkomendasikan karena dapat menimbulkan ketidakseimbangan sendi rahang dan risiko jaw pain.

Apakah retainer perlu setelah selesai behel?

Wajib. Retainer membantu mempertahankan posisi gigi agar tidak relaps.