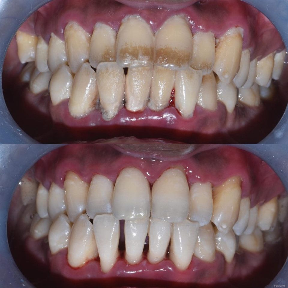
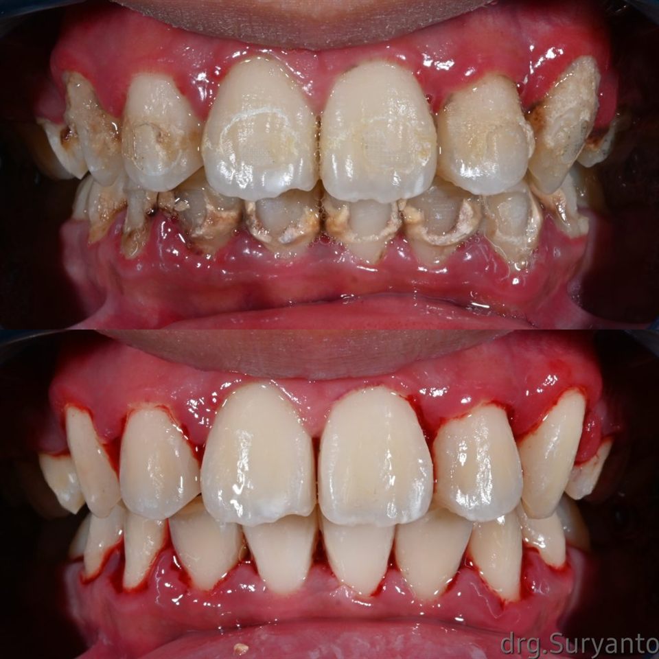
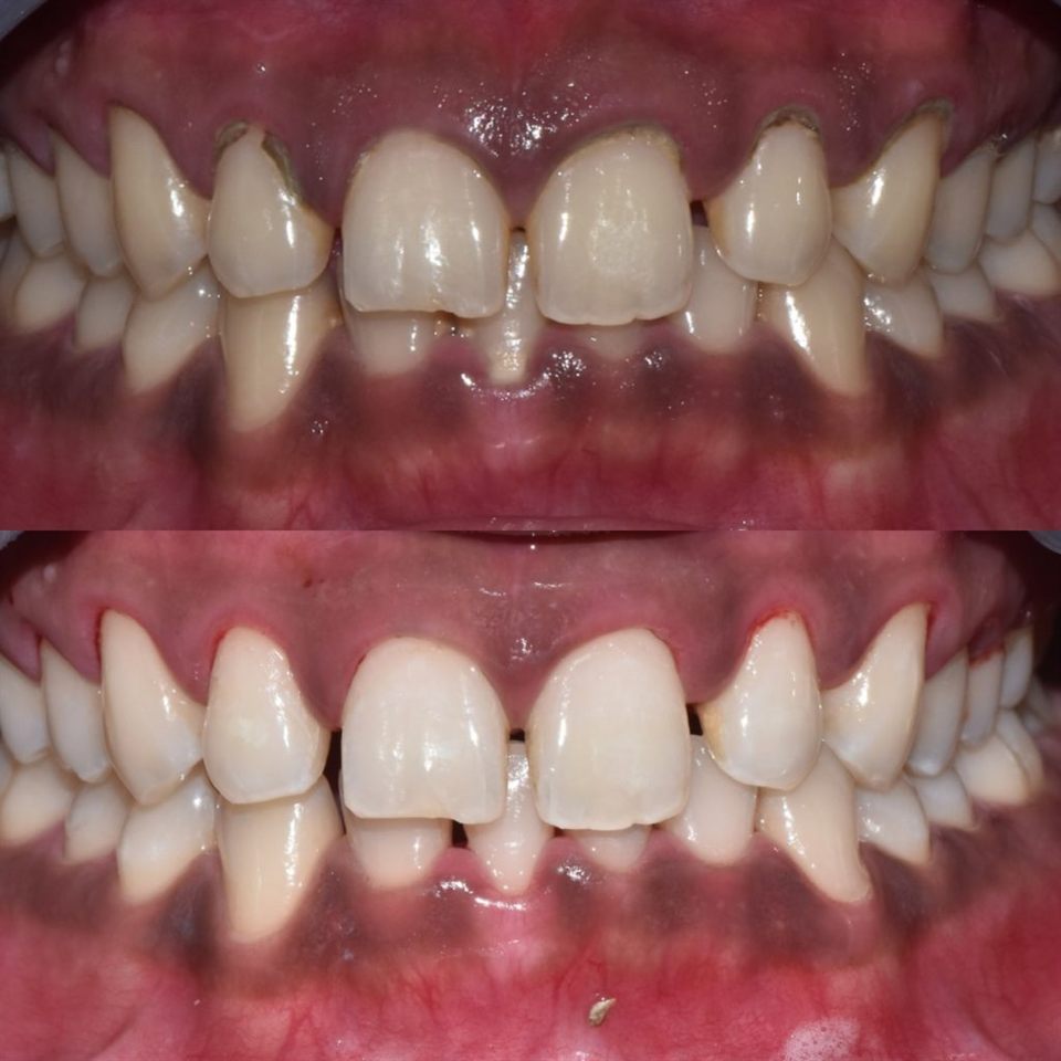
Scaling Gigi

Menjaga kesehatan gusi dan kebersihan mulut optimal dengan scaling rutin.

Scaling dilakukan dengan teknik yang nyaman untuk membantu mengurangi penumpukan karang gigi, bau mulut, dan risiko masalah gusi.

Lihat Layanan Lain

Harga

Mulai dari Rp 300RB

Promo

Free konsultasi online awal sebelum reservasi jadwal kunjungan.

Katalog Hasil Tindakan

Foto katalog untuk membantu pasien menilai kualitas kerja dan hasil estetik.

Bioesthetic Dental

Kenapa Memilih Kami

  • Dokter berpengalaman menangani scaling tanpa rasa cemas berlebih.
  • Edukasi kebersihan gigi setelah tindakan agar hasil lebih optimal.
  • Lokasi strategis dan jadwal konsultasi fleksibel.

Bioesthetic Dental

Siap Konsultasi?

Klik WhatsApp lalu isi nama dan rentang usia. Tim kami akan menyiapkan rekomendasi awal sesuai kebutuhan Anda.

Pertanyaan Umum

Kenapa harus bersihkan karang gigi rutin?

Disarankan tiap 6 bulan untuk membantu mencegah masalah gusi dan tulang penyangga gigi, serta gejala seperti bau mulut dan peningkatan risiko gigi berlubang.

Apakah scaling sakit?

Biasanya tidak sakit. Pada kasus periodontitis dengan kalkulus tebal bisa menimbulkan ngilu, namun umumnya masih dapat diterima pasien.

Kenapa bisa berdarah saat scaling?

Pada penumpukan karang gigi tebal, jaringan gusi bisa sudah meradang/terluka sehingga saat karang diangkat area terbuka dapat berdarah.

Berapa lama proses scaling?

Sekitar 30 menit sampai 1 jam tergantung keparahan kasus.