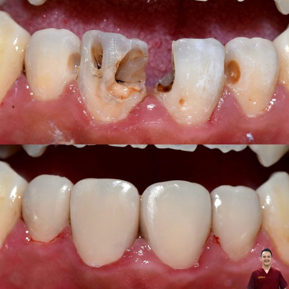
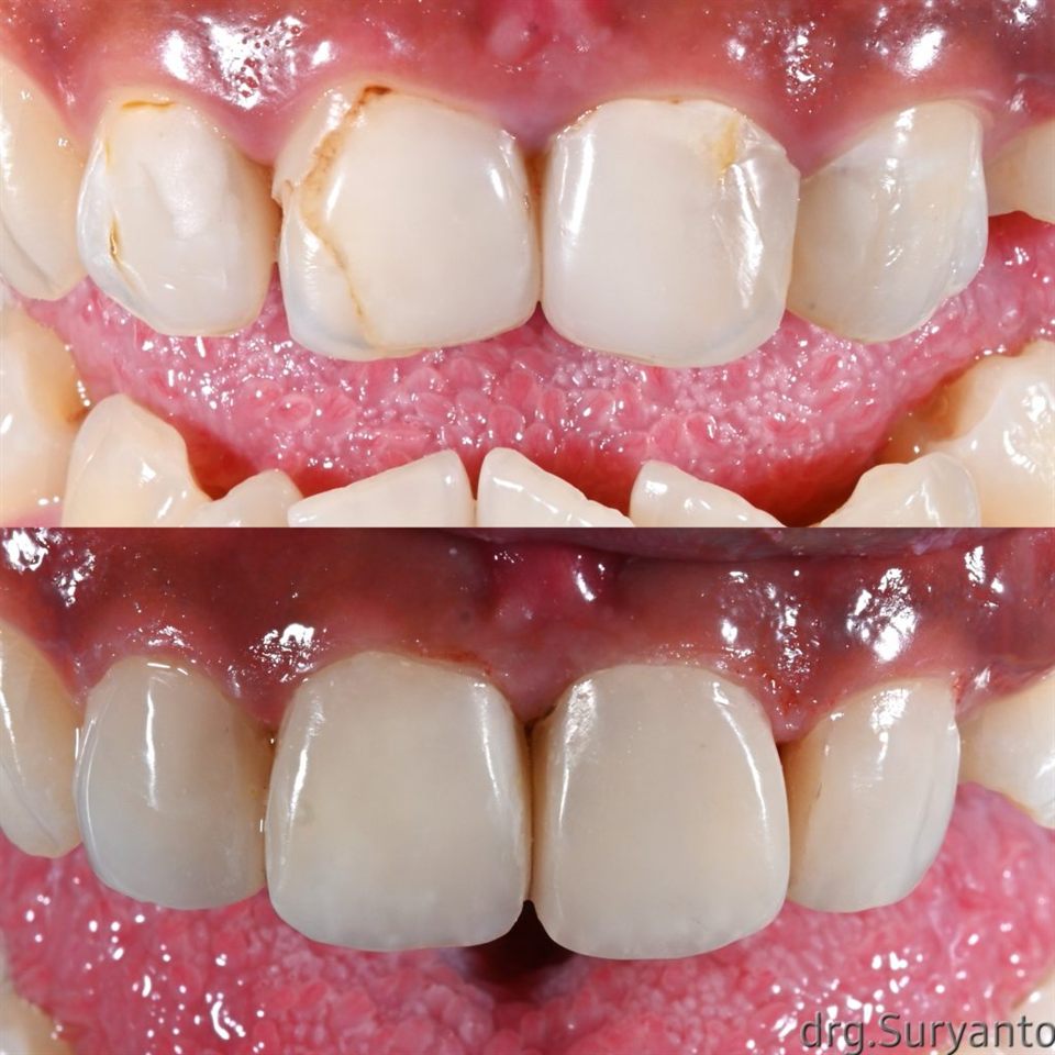
Tambal Gigi

Mengembalikan fungsi dan tampilan natural gigi dengan tambalan estetik berkualitas.

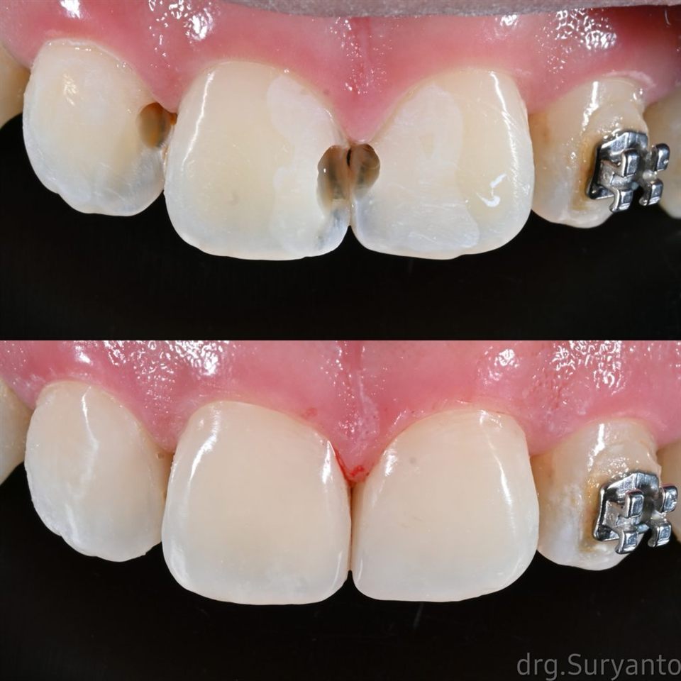
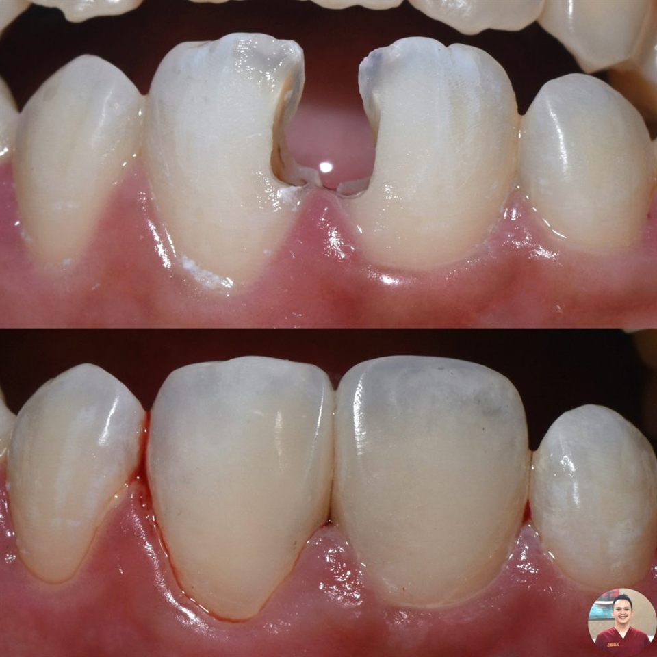
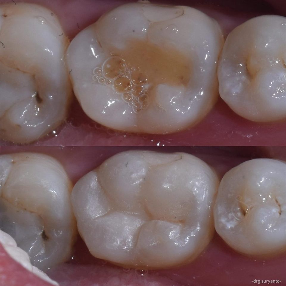
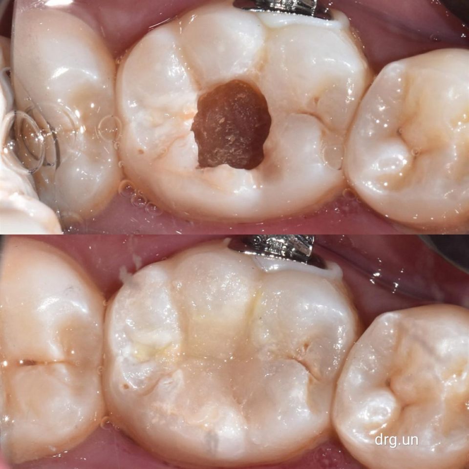
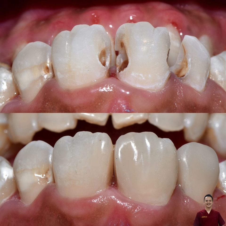
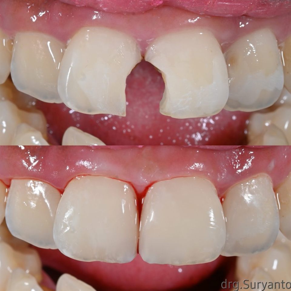
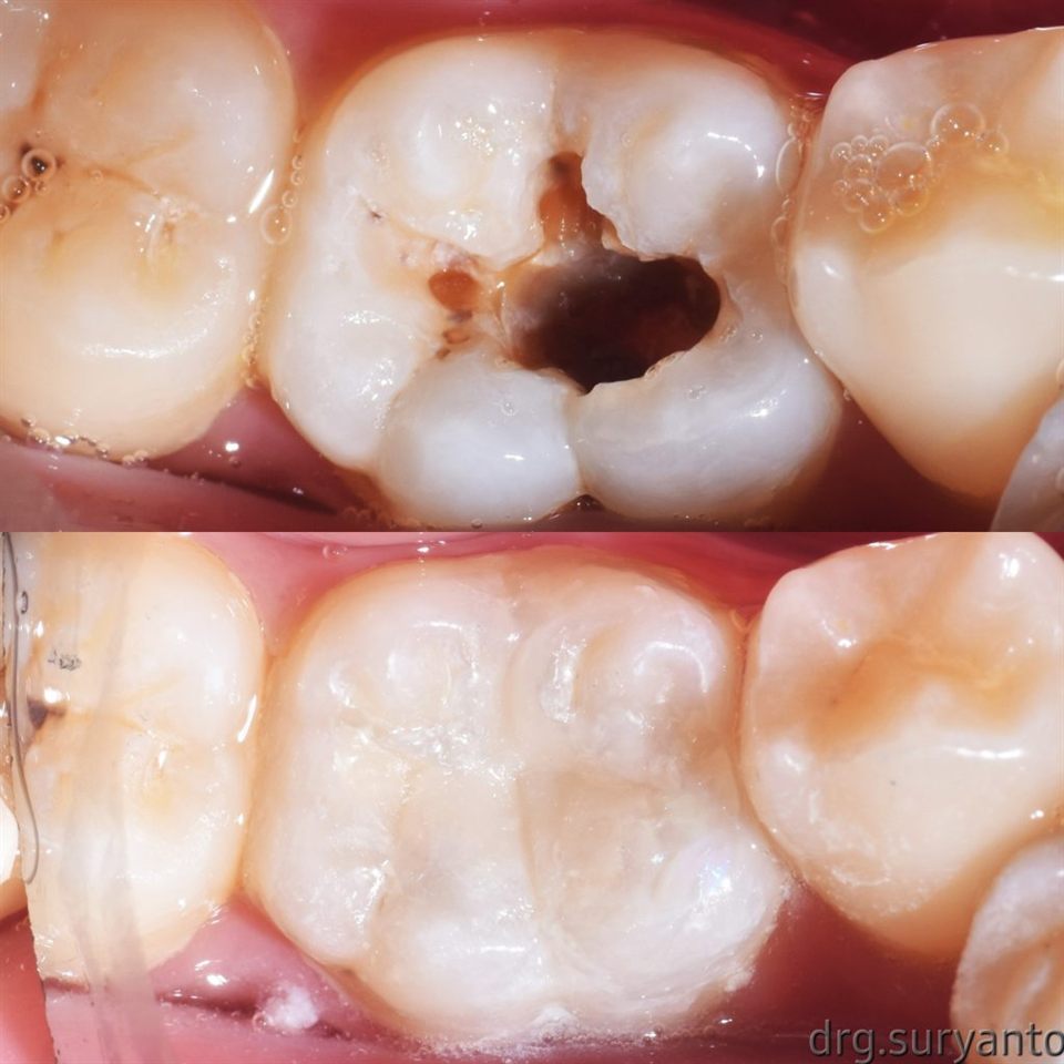
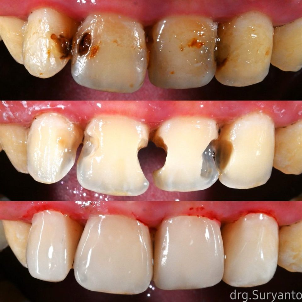
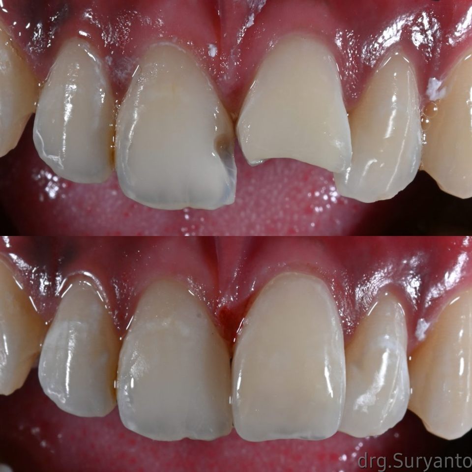
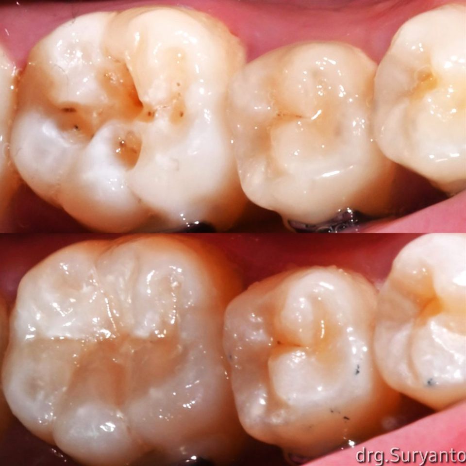
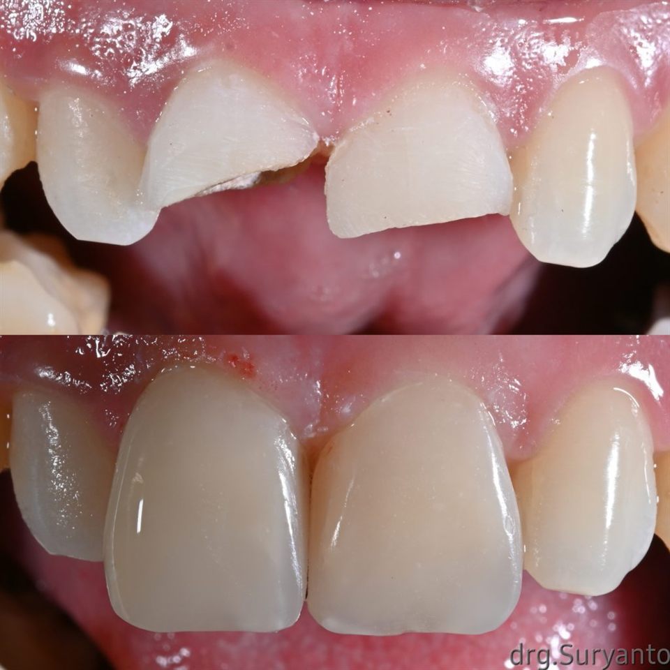
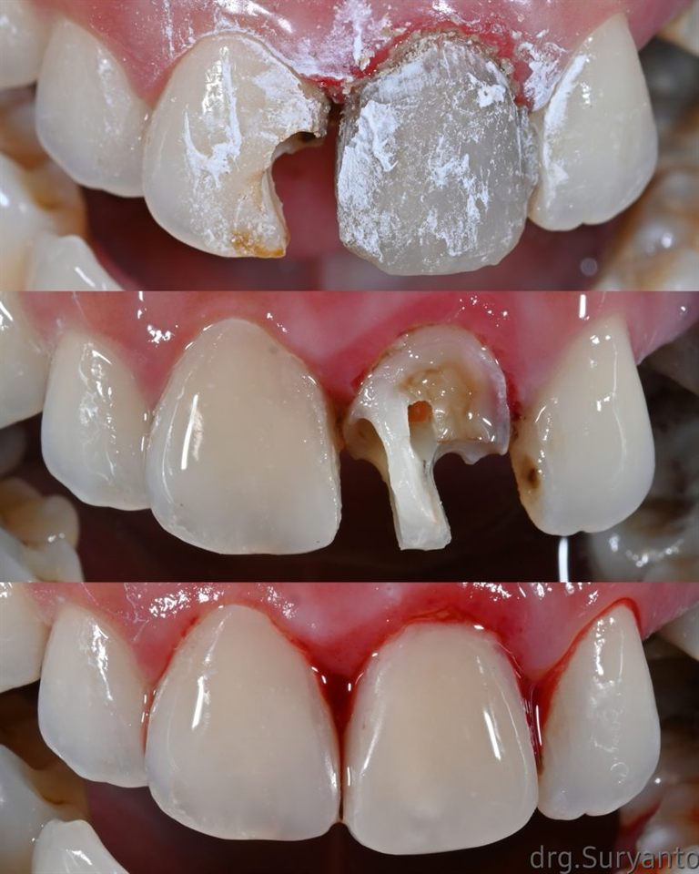
Penambalan dilakukan menggunakan material komposit estetik dengan fokus pada fungsi kunyah dan natural look.

Lihat Layanan Lain

Harga

Mulai dari Rp 300RB

Promo

Garansi tindakan hingga 6 bulan sesuai indikasi klinis.

Katalog Hasil Tindakan

Foto katalog untuk membantu pasien menilai kualitas kerja dan hasil estetik.

Bioesthetic Dental

Kenapa Memilih Kami

  • Hasil tambalan natural dan presisi.
  • Dokter berpengalaman untuk kasus gigi depan maupun belakang.
  • Bisa konsultasi online lebih dulu sebelum kunjungan.

Bioesthetic Dental

Siap Konsultasi?

Klik WhatsApp lalu isi nama dan rentang usia. Tim kami akan menyiapkan rekomendasi awal sesuai kebutuhan Anda.

Pertanyaan Umum

Berapa kunjungan yang dibutuhkan untuk penambalan gigi?

Umumnya 1 kunjungan. Pada kasus tertentu yang mendekati pulpa bisa membutuhkan 2 kunjungan (pulp capping).

Apakah gigi yang sudah sakit bengkak boleh langsung ditambal?

Pada umumnya tidak langsung ditambal. Bila sudah sakit spontan/bengkak, biasanya perlu perawatan saluran akar lebih dulu.

Apakah boleh langsung makan setelah tambal gigi?

Boleh, setelah proses polimerisasi sinar UV dan pemolesan, tambalan sudah mengeras dengan baik.

Apakah ibu hamil boleh ditambal?

Boleh. Penambalan gigi termasuk tindakan non-traumatik dan umumnya aman pada ibu hamil.